

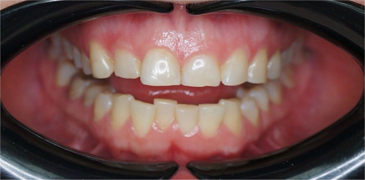
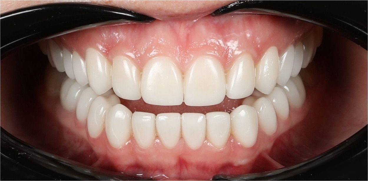
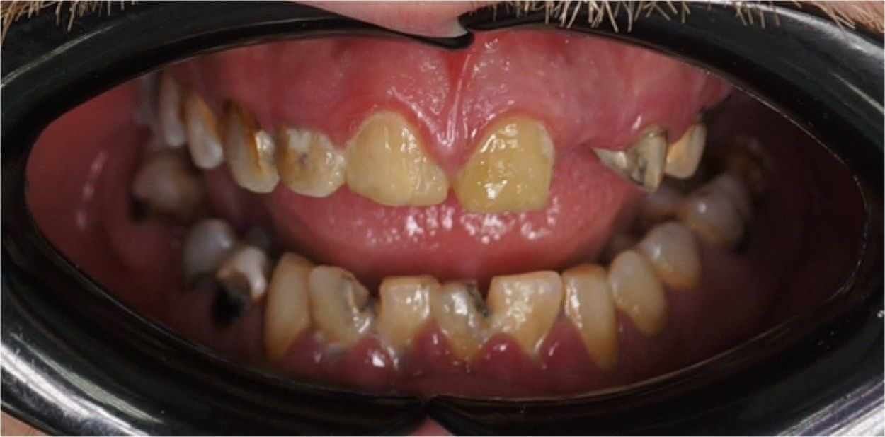
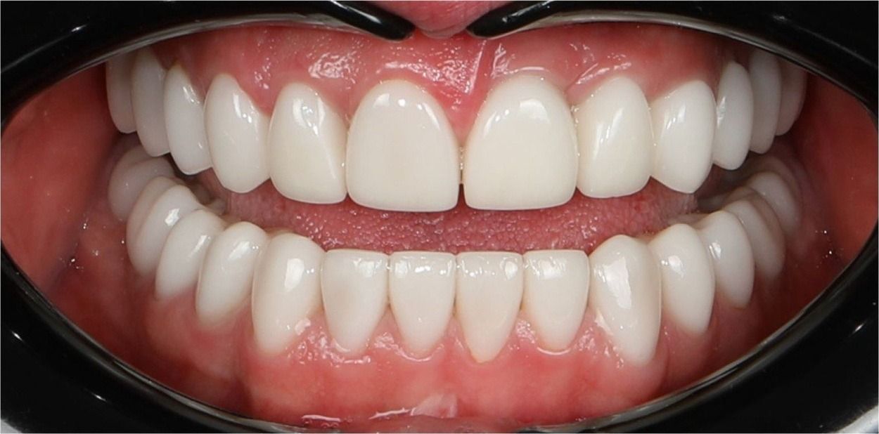
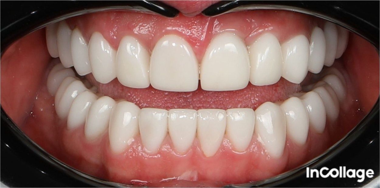
Обновили цвет и форму зубов 12–22, выровняли линию улыбки и добились симметрии передних зубов.


Сделали фронтальную группу светлее и гармоничнее, подчеркнули контуры и плавные пропорции улыбки.


Устранили сколы и неоднородный оттенок эмали, придали зубам 12–22 точные пропорции и блеск.


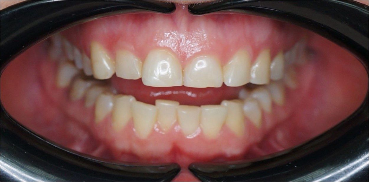
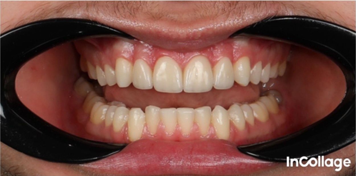
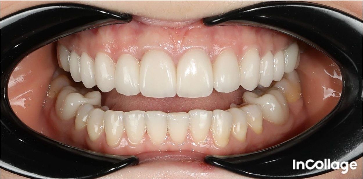
Полное восстановление улыбки: подбор формы и цвета, тотальное перекрытие фронтальной зоны керамическими винирами.


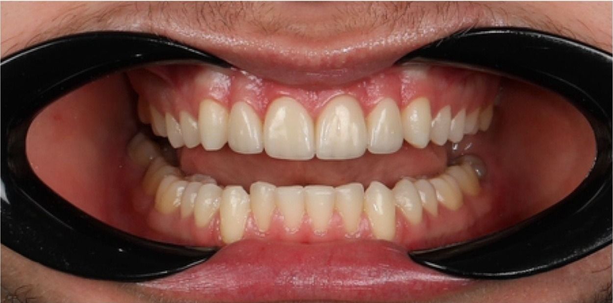
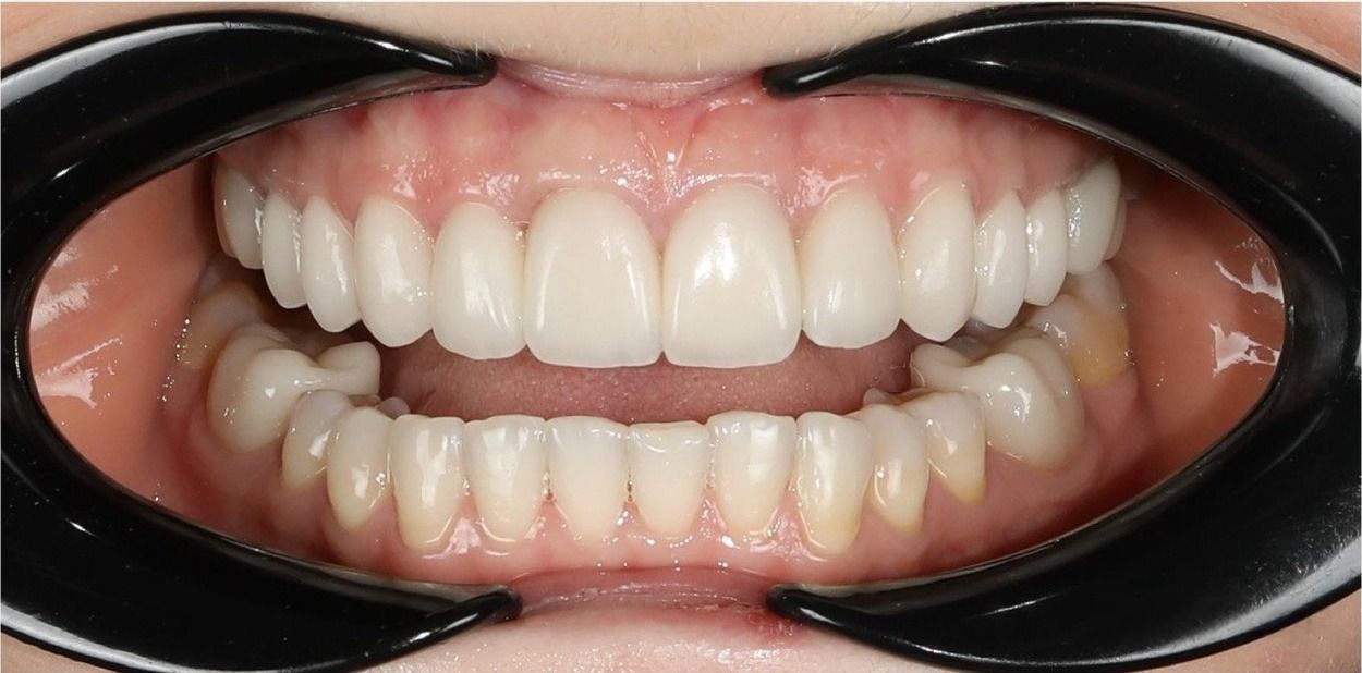
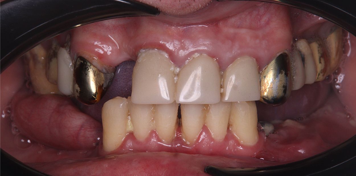
Полная реабилитация обеих челюстей: установка 4 имплантатов на ВЧ и НЧ и одномоментная нагрузка временным армированным протезом.


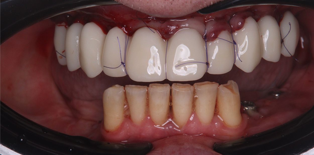
Восстановили зубной ряд на 4 имплантатах: подготовили опоры и зафиксировали несъёмный протез, вернув эстетику улыбки и комфортное жевание.


Провели полную реабилитацию обеих челюстей на 6 имплантатах: восстановили прикус и установили несъёмные протезы с равномерным распределением нагрузки.